Monday, August 26, 2013

Livermore Dentist - Oral Warning Signs Can Indicate Serious Medical Conditions - Smiles by Design in Livermore






 

Regular dental exams not only help to decrease a patient's risk of oral diseases, such as cavities and periodontal (gum) disease, but they may also help to diagnose other, sometimes life-threatening, medical conditions.

 

Dentists are able to assess a patient's overall oral health and may recognize symptoms of serious diseases, including diabetes, cancer, and eating disorders, which often manifest as signs and symptoms inside of the mouth.

 

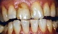
Diabetes

More than 25 million people in the United States alone suffer from diabetes.


"Because diabetes reduces the body's resistance to infection, the gums are at risk for gingivitis, an inflammation usually caused by the presence of bacteria in plaque," says Academy of General Dentistry (AGD) spokesperson Julie Ann Barna, DMD, MAGD. "Additionally, those with diabetes can experience high incidences of oral fungal infections and persistent bad breath."


Oral Cancer
Oral cancer is one of the most common cancers, with approximately 35,000 new cases reported annually in the United States.

"Indicators of oral cancer may include bleeding sores, lumps, or thick, hard spots, as well as changes in the way teeth fit together," says Dr. Barna.

 

Oral cancer is sometimes difficult to self-diagnose, so routine dental exams are recommended. A dentist will feel for lumps or irregular tissue changes in your neck, head, cheeks, and oral cavity and thoroughly examine the soft tissues in your mouth, specifically looking for any sores or discolored tissues.

 Eating Disorders

"Eating disorders, including anorexia nervosa and bulimia nervosa, can rob the body of much-needed vitamins and minerals," says Dr. Barna. "Without proper nutrition, the gums can lose their healthy pink color and become increasingly soft and tender, bleeding easily."


Disorders that involve excessive vomiting, such as bulimia, can cause discoloration and erosion of the teeth due to constant contact with acid from the stomach. People who have eating disorders also may experience swollen salivary glands, dry mouth, sensitive teeth, and loss of tooth enamel.

 Diseases negatively impact your general health, but they also can damage your oral health.  Regularly scheduled dental exams allow dentists to detect or monitor your health.


"Patients should inform their dentists about any and all medical conditions and medicines that may affect their oral health, as well as any changes in their medical history," says Dr. Barna. "Remember, maintaining a healthy body includes taking care of your oral health.
 

No comments:

Post a Comment