Wednesday, April 17, 2013

Pleasanton Dentist - What is Gum Boils - Smiles by Design in Livermore




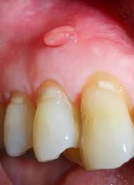
Definition

Gum boils are a generic term that refers to various types of swelling or tissue overgrowth that occurs in the mouth. Gum boils may be fluid filled or made of solid fibrous gum tissue. Color may appear normal or the gum boil area can appear red and raw. Some gum boils may be due to dental abscesses due to gum disease, effects of prescription medication, salivary gland blockages or congenital.



Causes

What causes gum boils? Gum boils have different causes and variations. They may also be called tumors. Knowing what causes gum boils in your mouth can help you treat them appropriately.

  • Gum overgrowth may be due to a side effect of prescription medications, ill-fitting dentures, or wearing braces. These are probably the most common form of gum boils.
  • A common form of gum tumor is a “pregnancy tumor” on the gums, induced by hormone levels during pregnancy. These quickly go away after the pregnancy is completed and hormone levels return to normal.
  • Congenital gum boils may be present at birth.
  • Dental abscesses due to severe decay and infection of the tooth nerve may appear as a boil on the gums.
  • Boils caused from severe periodontal disease are present when oral hygiene and plaque levels are poor.
 
 
Signs And Symptoms

Gum boils in the mouth may appear in several different forms:

  • Swollen, hard areas of fibrous tissue
  • Soft, swollen fluid-filled blisters
  • Light pink
  • Dark red
  • No bleeding, lack of blood supply
  • Bleeding during oral hygiene


source: http://www.trustedhealthproducts.com/health-resources/oral-health/gum-boils/#sthash.ZfEYwHVy.dpbs


http://www.smilesbydesigninlivermore.com

No comments:

Post a Comment